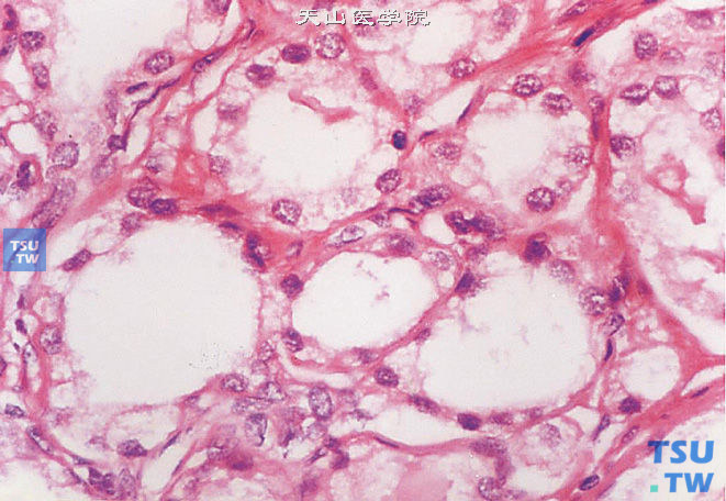
上图:前列腺非典型腺瘤样增生,为小叶内腺体增生上图:前列腺非典型腺瘤样增生,病灶中有正常的腺体上图:前列腺非典型腺瘤样增生,腺上皮细胞胞质苍白或透明上图:前列腺非典型腺瘤样增
上图:前列腺上皮内瘤变(PIN),低级别,上皮细胞拥挤,呈簇状增生,腔面不规则上图:前列腺上皮内瘤变(PIN),低级别,(上图高倍)示核染色质基本正常,核仁小而不显著上图:前列腺上皮内瘤变(PIN),低级别,